オフィスホワイトニング

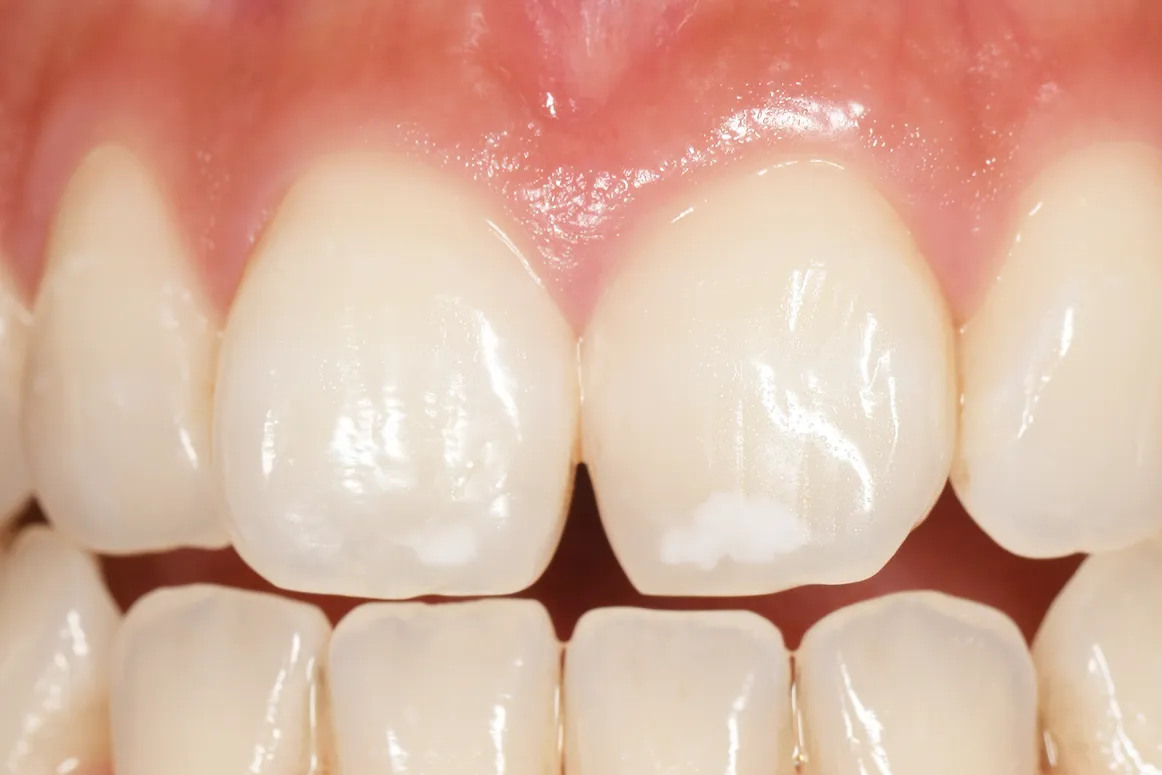
前歯の白い模様が気になり、
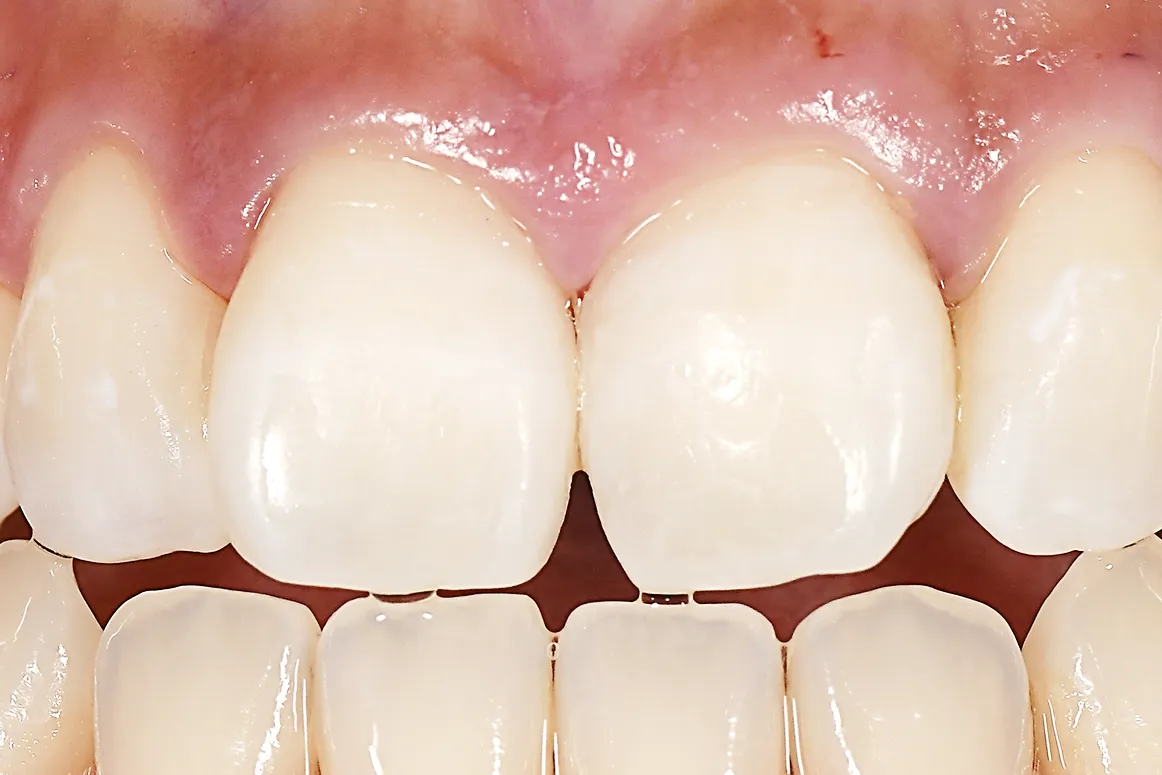
オフィスホワイトニング、アイコン治療で改善した症例

主訴
前歯の白い模様が気になる
期間
約1カ月
費用
66,000円
治療内容
オフィスホワイトニング・アイコン
治療に伴うリスク
保険適用外

ご予約はお電話またはWEBで

ご予約はお電話またはWEBにて承っております。
WEB予約が埋まっていても、
当日受診可能な場合がございますので、
お電話ください。
早稲田・高田馬場で歯医者をお探しながら、
クレリア歯科・矯正歯科 早稲田へ。

診療時間
9:00-13:00
14:30-17:30
休診日
水曜日、祝日
地図

早稲田・高田馬場の歯医者
早稲田駅から徒歩3分の歯医者
【クレリア歯科・矯正歯科 早稲田】
〒169-0051
東京都新宿区西早稲田1丁目1−18 1F
TEL:03-6228-0103

-東京メトロ東西線
「早稲田駅」3b出口から徒歩3分