審美症例02
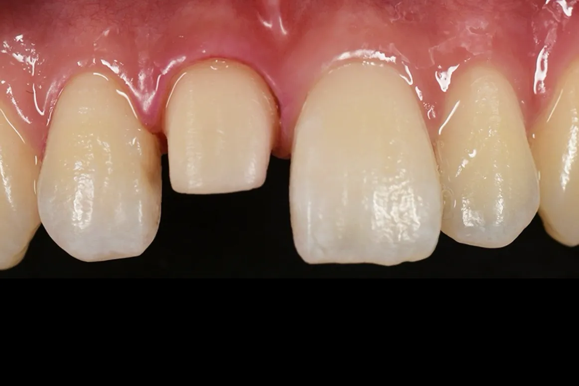
治療前

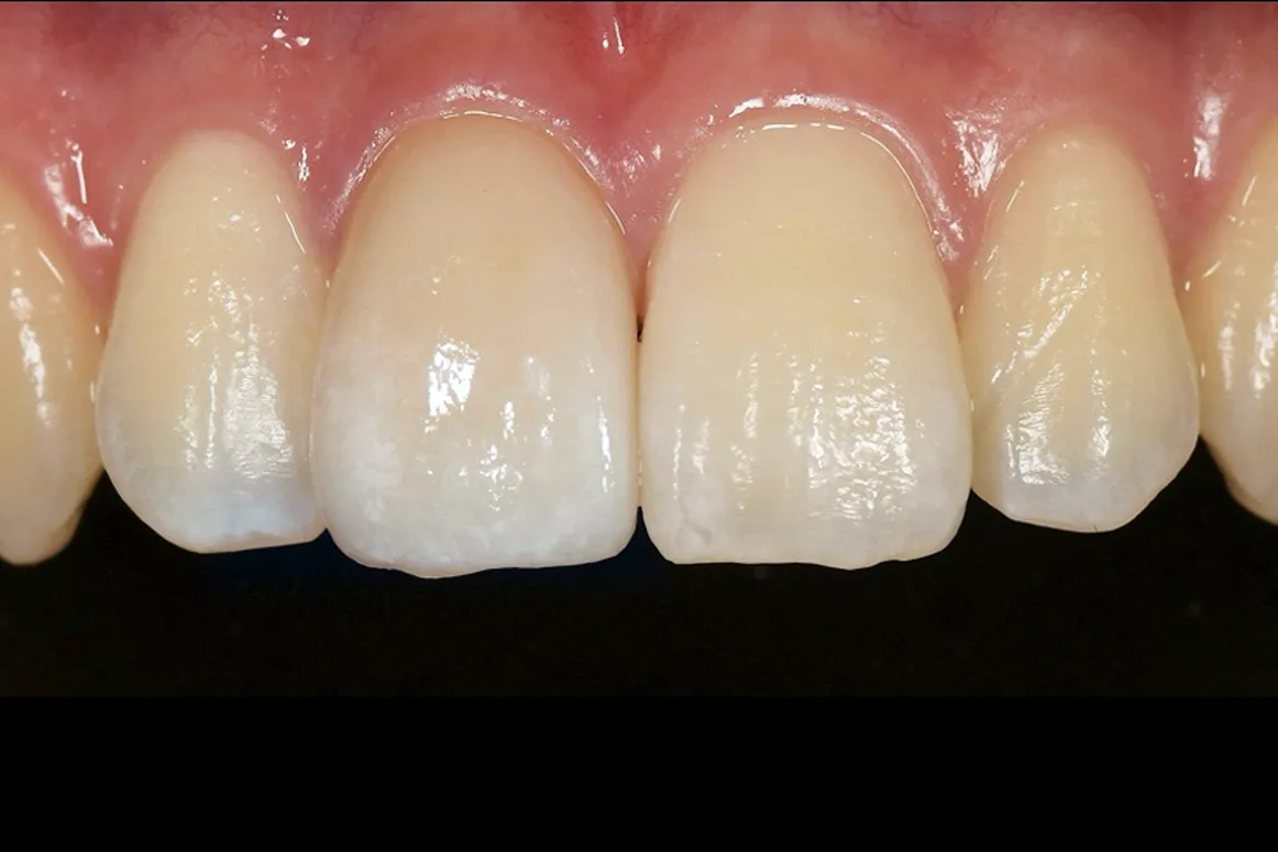
治療後

| 主訴 | 根の治療をした歯の被せ物を入れたい |
|---|---|
| 期間 | 来院3回 |
| 費用 | ¥132,000 |
| 治療内容 | e.Maxクラウン |
| 治療に伴うリスク | 治療途中仮歯が取れる可能性 |





